티스토리 뷰
목차
사랑니는 많은 사람들이 겪는 치과 문제 중 하나로, 예쁜 이름과 반대로 아픔을 주는 경우가 많습니다. 주로 18~20대 초반에 나오며, 구강 내에서 가장 늦게 맹출하는 치아입니다.
그러나 이 치아는 위치나 형태가 다양하고 악골 크기에 따라서도 사랑니가 맹출하지 못하여 그 관리와 발치 여부에 대한 올바른 이해가 필요합니다.

사랑니 발치
우리나라에서는 사랑을 알 나이에 생긴다고해서 사랑니라고 부르고 외국에서는 현명한 나이라고해서 wisdom tooth라고 합니다. 사랑니는 어금니 중에서도 가장 뒤쪽에 위치한 치아로, 구강 내에서 세 번째로 큰 어금니라는 뜻에서 '제3 대구치'로 하합니다.
많은 사람들이 사랑니가 제2 대구치 바로 뒤에 하나 더 존재하는 것을 눈치채지 못하지만, 실제로 이 사랑니는 다양한 이유로 문제를 일으킬 수 있습니다.
사랑니는 보통 17세에서 25세 사이에 나오지만, 맹출이 잘 되어 어금니 역할을 잘 하는 경우도 있고 맹출은 했지만 잘 닦이지 않아서 잇몸병을 일으키는 주범이 되기도 합니다.
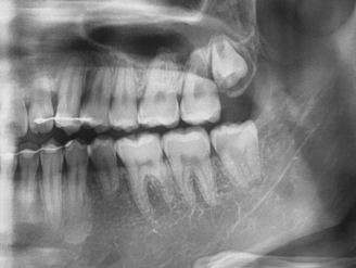
또는 사랑니가 나오지 않아서 없는줄 알았다가 우연히 치과에서 파노라마를 찍고 나서 잇몸 안에 매복되어 있는 사랑니를 발견하고 울상이 되어버리는 분들도 계십니다.
사랑니의 위치나 상태에 따라 치료나 발치가 필요하기에 크게 4가지의 형태로 분류하여 설명드리겠습니다.
사랑니의 종류에 따른 발치필요성
사랑니는 크게 4가지 종류로 나눌 수 있습니다. 각각의 사랑니는 위치와 상태에 따라 발치의 난이도와 필요성이 다르며, 이에 대한 이해가 필요합니다.

1. 맹출 사랑니
▶ 특징: 똑바로 자라난 사랑니로, 잇몸 위로 곧게 나와 있어 육안으로 쉽게 확인할 수 있습니다.
▶ 발치 필요성: 저작 기능이 정상적으로 이루어진다면 굳이 발치할 필요는 없습니다. 다만, 가장 안쪽에 위치해 양치질이 어렵고, 충치나 잇몸질환이 발생할 수 있으므로 주의가 필요합니다.
▶ 난이도: 발치 난이도는 낮으며, 잇몸 치료 후 유지 관리만 잘한다면 사용이 가능합니다.

2. 단순 매복 사랑니
▶ 특징: 잇몸 속에 수직으로 묻혀 있지만, 똑바로 위치해 있는 상태입니다. 일부는 잇몸 위로 살짝 나와 있을 수도 있습니다.
▶ 발치 필요성: 상황에 따라 다르며, 20세 이하의 경우 맹출을 기다려볼 수 있습니다. 만약 치아가 더 이상 나오지 않거나 문제가 발생할 가능성이 있다면 발치가 필요합니다.
▶ 난이도: 중간 정도로, 발치 후에도 비교적 통증이 적고 회복이 빠릅니다.

3. 복잡 매복 사랑니
▶ 특징: 치아 머리가 잇몸 밖으로 일부 보이지만, 치아가 기울어져 있는 상태입니다. 엑스레이로 확인했을 때 치아가 옆으로 눕거나 사선으로 경사져 있는 경우가 많습니다.
▶ 발치 필요성: 반드시 발치를 권장합니다. 옆 치아에 압박을 가해 충치나 잇몸질환을 유발할 수 있으며, 발치를 미룰 경우 더 큰 문제를 초래할 수 있습니다.
▶ 난이도: 중간에서 높은 난이도로, 치아를 여러 조각으로 나누어 발치해야 할 수도 있습니다.

4. 완전 매복 사랑니
▶ 특징: 치아 전체가 잇몸 속에 깊숙이 매복된 상태로, 육안으로는 전혀 보이지 않습니다. 치아 뿌리가 신경과 가까운 경우가 많아 발치 시 주의가 필요합니다.
▶ 발치 필요성: 매우 높으며, 주변 염증이나 물혹이 발생할 수 있어 가능한 빠르게 발치하는 것이 좋습니다.
▶ 난이도: 난이도가 가장 높으며, 발치 후 통증과 붓기가 심할 수 있습니다. 염증이 심한 경우 발치를 미룰 수 있으며, 염증 치료 후 발치가 진행될 수 있습니다.

사랑니 발치의 필요성과 관리 방법
사랑니는 그 위치와 상태에 따라 발치 여부가 달라지므로, 정기적인 치과 검진을 통해 자신의 사랑니 상태를 확인하는 것이 중요합니다. 발치가 필요한 경우, 치과에서 엑스레이를 통해 정확한 진단을 받고 시기를 결정하는 것이 바람직합니다.
발치 후에는 염증 예방과 통증 관리를 위해 치과의 지시에 따라 약물을 복용하고, 필요시 냉찜질을 통해 붓기를 줄여야 합니다. 또한, 발치 후에는 음식물 섭취와 양치질 시 주의가 필요하며, 회복 기간 동안에는 부드러운 음식을 섭취하는 것이 좋습니다.
★사랑니 발치를 두려워하는 분들을 위한 조언
사랑니 발치는 많은 사람들이 두려워하는 시술 중 하나입니다. 그러나 적절한 시기에 발치하면 통증과 불편함을 최소화할 수 있습니다.
특히 복잡 매복과 완전 매복 사랑니는 시간이 지날수록 더 큰 문제를 일으킬 수 있으므로, 자신의 사랑니가 어떻게 자라고 있는지 확인하고, 필요한 경우 발치를 고려해보세요. 치과에서 제공하는 엑스레이와 상담을 통해 자신의 상황에 맞는 최선의 방법을 선택할 수 있을 것입니다.
▶ 구강악안면외과 전문의 치과의사는 사랑니발치를 전공으로 하였기때문에 경험이 많아서 비교적 빠르고 힘들지 않게 발치를 합니다. 발치를 잘 하고 싶다면 전문의를 찾아가시는게 가장 쉬운 정답입니다.





